


研究内容の紹介
上部消化管外科は食道、胃、十二指腸に発生する疾患を扱う診療科で、がんに対する手術を中心に診療を行い、一般施設では対応が難しい高度進行がんや合併症を持つ患者さんの治療にも積極的に取り組んでいます。
治療成績を向上させるために、周術期リハビリテーション、栄養投与、新たな診断法の開発などの臨床研究から、薬物治療の効果予測などの基礎研究、そして若手外科医の教育システム開発にも取り組んでいます。
研究テーマ
(①)臨床:食道がん患者のHRQOL(Health related Quality of Life) 向上のための新規支持療法の開発
(②)臨床:認知機能変化の新規評価法と機能改善にむけた介入法の研究
(④)基礎:患者由来の腫瘍細胞培養(オルガノイド)を用いた免疫チェックポイント阻害薬の感受性予測モデル
(⑤)基礎:消化管間質腫瘍(GIST)に対するctDNAに基づいた新規治療選択法の開発
(⑥)教育:若手外科医に対するVRによる新規教育システム開発
主要研究内容の詳細
① 食道がん患者の身体機能・呼吸筋力・嚥下機能・認知機能などのデータをAIやMR(Mixed Reality)を用いて網羅的に収集し、化学療法・手術前後の変化や合併症、長期的なHRQOLや予後との関連を研究し、よりよいがん治療に向けた支持療法の開発を行います。

~研究計画書はこちら~
風船
就労支援
~業績~
Tongue pressure, respiratory muscle and limb strength and functional exercise capacity in oesophageal cancer
Takuya Fukushima, Makoto Yamasaki, Nobuyuki Yamamoto, Yasuaki Arima, Takashi Harino, Soshi Hori, Yuki Hashimoto, Masaya Kotsuka, Kentaro Inoue, Kimitaka Hase, Jiro Nakano
BMJ Supportive & Palliative Care, 2024 Nov 20;14(4):434-441. doi: 10.1136/spcare-2024-005100.
科研費 基盤(B)「食道がんサバイバーに対するAIシステムを融合した新たな運動腫瘍学的治療戦略の創造」リハビリテーション学部 助教 福島卓也
② がん患者の高齢化も著しく進むなか、身体的機能改善効果を目指した報告は散見されるようになってきました。精神的機能においては、近年がんに関連した認知機能障害:Cancer Related Cognitive Impairment (CRCI)という概念が提唱され、がん治療成績に関連するとして注目されていますが、治療法などは確立していないのが現状です。がん医療における精神心理的機能に対する支持療法として、現実空間内にコンピュータグラフィックス(CG)を展開するMR課題を提供する新たな支持療法の開発を目指すことを目的とします。


~研究計画書はこちら~
作成中です。公開まで少々お待ちください。
~業績~
科研費基盤C「食道癌集学的治療における新規支持療法の開発」上部消化管外科 教授 山﨑誠
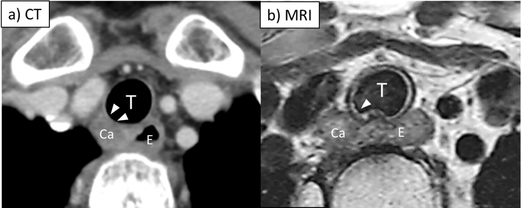
③食道癌における壁深達度診断の世界的標準モダリティはCT検査であるが、層構造の判定が難しいため診断は極めて難しいことが臨床的に問題となっています。心呼吸同期と画像精度が飛躍的に向上した3.0テスラMRIの登場により、その存在価値は高まっており、本研究ではMRIの診断および腫瘍悪性度評価の有用性を多施設前向き研究で明らかにすることを目的とします。

~研究計画書はこちら~
~業績~
Impact of MRI on the post‑therapeutic diagnosis of T4 esophageal cancer,
Takashi Harino, Makoto Yamasaki, et al
Esophagus, 2023 Oct;20(4):740-748. doi: 10.1007/s10388-023-01010-2.
④ 食道癌患者さんから採取した腫瘍細胞(オルガノイド培養)と、採血から抽出したリンパ球との共培養モデルを作成し、免疫チェックポイント阻害薬の感受性試験に病理学部と共同で取り組んでいます。実際の患者さんの細胞で免疫治療の効果予測ができる画期的な研究です。

オルガノイドのPD-L1(免疫チェックポイント分子)発現評価-1024x662.png)
実験風景-1024x684.jpg)
~研究計画書はこちら~
作成中です。公開まで少々お待ちください。
~業績~
対がん協会助成金2024「食道癌オルガノイドを用いた免疫治療の効果予測と免疫応答の解明」 上部消化管外科 助教 張野誉史
⑤ 消化管GISTの80-90%のKITとPDGFRA遺伝子変異を認めると報告されており、血中を循環するcfDNAからの遺伝子変異診断が近年注目されています。本研究ではPVA(ポリビニルアルコール)スポンジを用いたヒト血漿等の検体中のcfDNA等を効率よく回収する方法とPCR法を組み合わせることにより、消化器癌をはじめとするがんの新規存在診断法を開発することを目的とします。
~研究計画書はこちら~
作成中です。公開まで少々お待ちください。
⑥ 若手外科医・初期研修医・医学生を対象にVR (Virtual Reality)やRobotiX mentor、Lap Mentorを用いて教育を行います。手術映像を高精度カメラで録画し、ベテラン医師の技を手術室に入ることなく若手医師や医学生に体験・技術を伝承、シミュレーションセンターで手術トレーニングモジュレーターを使用して手技を実践するシステムを構築します。またリアルな医療現場を体験し、医療手技(CV挿入・胸腔ドレーン挿入など)のシミュレーションも行い、その効果を検証します。
~研究計画書はこちら~
上部消化管外科で実施している共同研究に関して
下記のホームページに記載されています
https://hp.kmu.ac.jp/about/research/gastrointestinal
研究スタッフからのメッセージ
臨床をしながら専門各科と連携して研究を進めています。日々の患者さん診療で疑問をもったことを、臨床研究・基礎研究で解決していく面白さを一緒に味わいませんか?